Bruxism (Teeth Grinding) - What you need to know
Article By Dr. Rouel Vergara, D.M.D., Gen.Dent.Cert.
Bruxism, commonly known as teeth grinding, is a condition considered as movement disorder of the jaw.
Grinding or clenching of teeth usually characterises this condition.
Even though the cause of bruxism is unknown, experts suggest that psychological stress plays a major role.
According to recent studies available, women are more affected than men.
It is estimated that between 20%-30% of the adult population are affected and approximately 15% of kids have a similar condition.
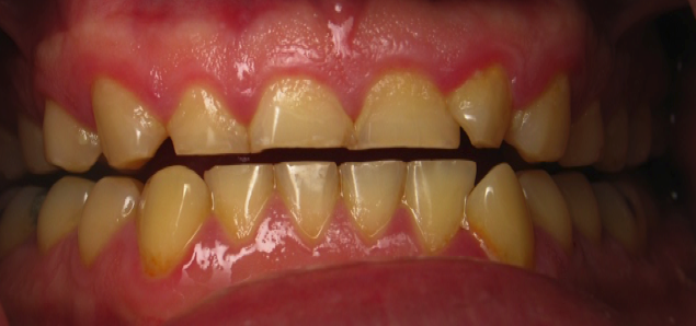
Fig 1. Worn out teeth due to bruxism
Fig 2. Facial and jaw pain
Here are the things you need to know to determine if you suffer from this condition:
- Here are the things you need to know to determine if you suffer from this condition:
Grinding of teeth at night that may be loud enough, making it noticeable by your partner - Teeth becoming worn down leading to exposed deeper layer of teeth
- Increased sensitivity of teeth
- Toothache
- Tired and tight jaw muscles even after you’ve slept
- Headache
- Facial pain
- Earache
- Indentations on tongue
As mentioned earlier, treatment of bruxism depends on the severity of the condition.
Solutions may vary from case to case. Occlusal Splint (night guard) is the most common solution dentists can provide.
This dental device is worn at nighttime to protect teeth while sleeping.
There are also various jaw exercise and therapy options that can be implemented.
Fig. 3 Occlusal splint (night guard)
Here are my other helpful tips to minimise teeth grinding:
- Here are my other helpful tips to minimise teeth grinding:
Relax. Reduce stress in your life or work. - Avoid alcohol. It increases teeth grinding after consumption
- Reduce caffeine intake.
- Do not chew on objects such as pens or pencils
If you or your child suffer from this condition or have questions and concerns about bruxism (teeth grinding), we recommend consulting with any of our dentists here in Erina for some possible solutions.
Article by Dr Rouel Vergara DMD
Dr Rouel Vergara DMD – Principal Dentist & Director New Leaf Dentists.
Rouel obtained his Doctor of Dental Medicine (DMD) from the University of the East in 1998. He holds a Certificate in Training and Assessment from Macquarie College in Sydney.
He is a member of the Australian Dental Association (ADA and ADA NSW), a committee member of ADA NSW & a mentor for the ADA NSW Professional Transitional Support Mentoring Program.


















